RESUMO
OBJETIVO: Analisar o perfil dos pacientes portadores de sequelas de queimaduras admitidos para reabilitaçao no Hospital Sarah Brasília, e descrever o número de atendimentos de acordo com a classificaçao de escala Graham e de McCauley.
MÉTODO: Trata-se de estudo retrospectivo consecutivo de prontuários de pacientes atendidos no Hospital Sarah Brasília durante o período de cinco anos, devido à sequela de queimaduras nos membros superiores. Na admissao realizou-se a avaliaçao física e funcional, o exame radiológico, Classificaçao de Graham e de McCauley, nos casos de queimaduras elétricas, e eletroneuromiografia (EMG), para o planejamento cirúrgico. Os procedimentos cirúrgicos foram realizados em centro cirúrgico, sob anestesia geral e ou bloqueio de plexo braquial. Realizou-se análise das variáveis encontradas com auxílio do programa Epiinfo. O estudo foi avaliado e aprovado pelo Comitê de Ética em Pesquisa da Associaçao das Pioneiras Sociais (CEP/APS).
RESULTADOS: Foram atendidos 71 pacientes, 97 lesoes de membros superiores, devido a queimaduras, entre 1 a 20 anos de idade (49%), predomínio do sexo masculino, provocadas por fogo (28%) e queimadura elétrica por alta tensao (25%), classificados Grau III e IV (60%), com 24% de pacientes amputados. Para 29% realizou-se mais de uma cirurgia, entre estes retalhos locais (13%), enxerto de pele (24%), fixaçao com fios de Kirschner (44%), retalho à distância (2%). Entre os procedimentos nao cirúrgicos, foram utilizados órteses, fisioterapia e próteses.
CONCLUSAO: Constatou-se que no perfil do paciente portador de sequela de queimadura no Hospital de Reabilitaçao predominou o atendimento a adultos jovens, com deformidades antigas, graves de Grau III, IV e amputaçoes. As limitaçoes físicas causadas pela queimadura ocasionaram reduçao da funçao do membro superior, com sequelas variáveis e variedade de cirurgias, e programa de reabilitaçao multidisciplinar foi necessário.
Palavras-chave:
Queimaduras. Retalhos Cirúrgicos. Membro Superior. Reabilitação.
ABSTRACT
OBJECTIVE: To analyze the profile of patients with burn sequels at Hospital Sarah Brasília, and describe the number of medical staff appointments according to the rating scale Graham and McCauley.
METHOD: Retrospective study of patients seen in Sarah Hospital for five years, due to sequels of burns on the upper limbs. On admission there was the physical and functional evaluation, radiological examination, Graham classification and McCauley in cases of electrical burns, and electromyography (EMG), for surgical planning. Surgical procedures were performed in the operating room under general anesthesia or brachial plexus block. We conducted analysis of the variables found with the aid of Epi-info program. The study was approved by the Ethics Committee.
RESULTS: We served 71 patients, 97 upper limb injuries due to burns, between 1-20 years of age (49%), male predominance, caused by fire (28%) and high-voltage electrical burn (25%) ranked Grade III and IV (60%), with 24% of amputees. For more than 29% undergone surgery, among these local flaps (13%), skin grafts (24%) with Kirschner wire attachment (44%), the distance retail (2%), among nonsurgical procedures were used orthotics, physical therapy and prosthetics.
CONCLUSION: It was found that the profile of the burn sequel to a patient at the Rehabilitation Hospital predominant care for young adults with old deformities, severe Grade III, IV and amputations. The physical and psychological limitations caused by the burn caused reduction of upper limb function, with varying consequences and variety of surgeries, and multidisciplinary rehabilitation program was necessary.
Keywords:
Burns. Surgical Flaps. Upper Limb. Rehabilitation.
INTRODUÇAOO membro superior, frente e dorso, correspondem a 9% de área corporal queimada. Todavia, a depender do grau e causa da queimadura, é necessária a internaçao no atendimento agudo. As sequelas das queimaduras nos membros superiores podem ocasionar rigidez articular, retraçoes cicatriciais, mau posicionamento, deformidades em botoeira e ungueal, sinequias interdigitais, perda de dedo e disfunçao
1-3. Ocorre em 30% dos atendimentos de emergência, sendo a incidência principalmente em crianças e provocadas por escaldamento, fogo e elétrica
4. A pele dorsal e os tendoes extensores sao mais comumente atingidos pelas características dessa regiao. No atendimento de emergência, aproximadamente 50% necessita desbridamento, enxertia precoce, fisioterapia e órtese com o punho estendidos em 20-30º, e articulaçoes metacarpofalageanas (AMF) fletidas em 70-90º.
As deformidades consequentes às queimaduras variam desde a contratura de pele até a articular. A sinequia entre os espaços interdigitais é a mais comum, associada à hiperextensao das AMF e das interfalangeanas (AIF), em alguns casos estendendo-se ao punho, cotovelo e axila. No polegar observa-se a retraçao cutânea, fibrose e encurtamento do músculo adutor do polegar. Estas deformidades foram classificadas por Graham
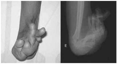
1. Nos casos mais graves, as deformidades podem se estender para o punho (Figura 1), cotovelo e axila. A correçao cirúrgica quando a queimadura é grave, na maioria das vezes é complexa, e geralmente é necessária quando o atendimento inicial foi negligenciado ou insatisfatório. Muitos casos nao podem ser corrigidos com o tratamento conservador, sendo que uma ou mais intervençoes cirúrgicas sao necessárias, associada a um programa fisioterápico e uso de órteses ou próteses
1,3-5, e, em alguns casos, somente com o uso de adaptadores.

Figura 1 - Deformidade grave de mao. Classificaçao grau IV.
O objetivo deste artigo é analisar o perfil dos pacientes portadores de sequelas de queimaduras admitidos para reabilitaçao no Hospital Sarah Brasília, e descrever o número de atendimentos de acordo com a classificaçao de escala Graham
1 e de McCauley
2.
MÉTODOSO estudo foi avaliado e aprovado pelo Comitê de Ética em Pesquisa da Associaçao das Pioneiras Sociais (CEP/APS) - Rede Sarah - Distrito Federal, sob o número 39220614.9.0000.0022.
Realizou-se estudo observacional descritivo de revisao de prontuários de todos os pacientes portadores de queimaduras nos membros superiores admitidos no Hospital Sarah Centro no período de cinco anos, entre 2001 e 2005. Esses pacientes foram submetidos à avaliaçao na admissao, e, após, o programa de reabilitaçao cirúrgico e/ou fisioterápico. Os pacientes admitidos que foram encaminhados para avaliaçao admissional e abandonaram o tratamento foram excluídos do estudo.
As variáveis qualitativas e distribuiçao de frequências da idade na admissao e na queimadura, procedência, sexo, causa da queimadura, tempo entre a queimadura e o atendimento, classificaçao segundo Graham
1 (Quadro 1) e de Mc Cauley
2 (Quadro 2), número de procedimentos, procedimentos realizados e o tempo de seguimento dos pacientes foram avaliados. Os dados foram analisados no programa Epi-info 3.2.2.
Avaliaçao dos pacientes foi realizada na admissao e após a intervençao cirúrgica e/ou fisioterápica, com teste de força com dinamômetro, goniometria, avaliaçao motora conforme Louisiania State University Medical Center Grading System for Motor
6 e a recuperaçao sensitiva quanto teste de monofilamentos de Semmes-Westein
7. Realizaçao de exame radiológico, classificaçao de Graham
1 e de Mc Cauley
2. Nos casos de queimaduras elétricas, realizou-se a eletroneuromiografia (EMG) para o planejamento cirúrgico.
Os procedimentos cirúrgicos realizados foram em centro cirúrgico, sob anestesia geral e ou bloqueio de plexo braquial com o uso de torniquete. Ao final dos procedimentos, observou-se a perfusao do membro operado. Curativo oclusivo ou atado foram realizados nos casos de enxertia de pele, seguidos de imobilizaçao com tala e elevaçao do membro com tipoia. No pós-operatório, retornos semanais na sala de curativos até a cicatrizaçao completa e remoçao de fios de Kirschner foram necessários, seguido de consultas ambulatoriais mensais, trimestrais e anuais.
O programa fisioterápico, procedimento nao cirúrgico, consistiu em exercícios de alongamento, mobilizaçao do membro, exercícios ativos e passivos orientados para manutençao da força muscular, prevençao de aderências e retraçoes, programas de fortalecimento muscular e condicionamento, hidroterapia, hidroginástica, massagem, utilizaçao de órteses, próteses, uso de malha compressiva e adaptaçoes para atividades de vida diária.
RESULTADOSNa análise de 71 prontuários de pacientes atendidos com 97 lesoes de membros superiores, devido a queimaduras, atendidos entre 2001 e 2005 no Hospital Sarah Brasília, observou-se que a faixa etária mais acometida foi de 1 a 20 anos (49%), seguida da faixa de 21 a 40 anos (37%) e de acima de 41 anos (14%), principalmente no sexo masculino.
As queimaduras foram provocadas principalmente por fogo (28%) e queimadura por alta tensao (25%), elétrica (17%), álcool e fogo (7%), água quente (6%) e cinzas (6%), ocorridas entre 1 a 20 anos anteriores a admissao. A distribuiçao das queimaduras segundo a classificaçao Mc Cauley
1 e de Graham
2 foi Grau I - 7%, II - 9%, III - 33% e Grau IV - 28%, com 24% de pacientes amputados. Quanto à localizaçao das lesoes associadas às queimaduras nos membros superiores, 41% dos pacientes apresentavam sequelas de queimaduras nos membros inferiores, 16% de queimaduras na face, e 15% apresentou lesao de nervos, 8% queimaduras no tronco e 8% queimadura cervical. Foram também observados trauma raquimedular, ossificaçao heterotópica e carcinoma espinocelular (4% cada).
Para 29% dos pacientes, realizou-se mais de um procedimento cirúrgico. Os procedimentos cirúrgicos mais comumente realizados foram: fixaçao articular com fios de Kirschner (44%) após a liberaçao da retraçao, por três semanas; enxerto de pele total (24%) retirado na maioria das vezes da regiao inguinal ou abdome inferior (raramente se utilizou enxerto de pele parcial (2%); e retalhos locais (13%), entre estes a zetaplastia (2%), avançamento, ao acaso ou pediculado, triangulares para confecçao das neocomissuras nos casos de sinequias interdigitais, tal como na técnica de Skoog. Em alguns casos, foi necessário realizar artrodese (5%) ou regularizaçao de coto de amputaçao em um membro (2%). Em três casos, foi necessária amputaçao com filetizaçao do V dedo deformado para cobertura da AMF liberada. Nos casos de deformidade em hiperextensao da AMF realizou-se a liberaçao da cicatriz dorsal com retirada de fibrose e enxertia de pele total com fixaçao das AMF em flexao; nos casos em que se indicou a capsulectomia foi realizado retalho a distância (2%), entre estes, da regiao inguinal. (Figuras 2 e 3).

Figura 2 - Enxertia de pele com curativo de Brown (acima). Retalho da regiao inguinal para cobertura das articulaçoes metacarpofalangeanas (abaixo).

Figura 3 - Retirada de cicatriz de queimadura com diagnóstico de úlcera de Marjolin. Uso de órtese pós-operatória.
Entre os procedimentos nao cirúrgicos, 35% recebeu tratamento fisioterápico e de reabilitaçao exclusivo, que consistiu em exercícios de alongamento, mobilizaçao do membro, exercícios ativos e passivos orientados para manutençao da força muscular, prevençao de aderências e retraçoes, programas de fortalecimento muscular e condicionamento, hidroterapia, hidroginástica, massagem em 100%; 22% o uso de órtese, 7% uso de malha compressiva e próteses em 6% dos casos. Todos os pacientes operados submeteram-se a exercícios fisioterápicos, realizados a partir da segunda semana de pós-operatório nos casos de enxerto e retalhos.
Nos casos de queimaduras elétricas, 15% apresentavam lesoes de nervos periféricos associados e amputaçoes em 24%. Nos casos atendidos tardiamente, observou-se a atrofia da musculatura extrínseca, pelo desuso, e da musculatura intrínseca com fibrose e substituiçao gordurosa, associada à reduçao dos espaços articulares, e, em alguns casos, a lesoes ósseas e nervosas, limitando o prognóstico. Em dois casos com evoluçao de mais de 15 anos, identificou-se carcinoma espinocelular, úlcera de Marjolin, no cotovelo e no punho, para os quais realizou-se a excisao, exame histopatológico para avaliaçao e margens cirúrgicas livres, com enxertia de pele total retirada do abdome inferior.
DISCUSSAOA porcentagem de pacientes admitidos com contraturas nas maos varia de 16% a 23%
8,9. No Hospital Sarah essa porcentagem chega a 60% devido às características do Hospital de reabilitaçao, que recebe pacientes de vários Hospitais do Distrito Federal e de outras regioes do Brasil. Vale ressaltar que a reabilitaçao de pacientes com grandes queimaduras deve começar no dia da lesao, mesmo nos casos de pacientes graves e em suporte ventilatório
5,6. Ela compreende o posicionamento funcional das articulaçoes com órteses, a fisioterapia precoce, a informaçao e o acompanhamento. A reabilitaçao no paciente queimado é um processo global e dinâmico no qual se pretende tratar ou atenuar as incapacidades tendo em vista a reintegraçao social. Muitas vezes, se atende pacientes com sequelas de queimaduras graves que estavam acamados por meses sem condiçoes de andar, paraplégicos, ou com deformidades graves e incapacitantes, sem condiçoes para realizaçao de cirurgias, sendo necessário o uso de adaptadores para atividades de vida diária.
Pacientes adultos jovens foram mais acometidos nesta pesquisa em concordância com outros autores
10-13, a causa principal de queimadura também foi o fogo, seguida de escaldadura
10,12,13. A escaldadura, classificada como segunda causa de queimaduras nesta pesquisa, apresentou-se como quinta causa em hospital de trauma
11.
O
Michigan Hand Questionnaire7 evidenciou que 68% dos pacientes relataram o prejuízo da funçao da mao após queimadura, 65% na mao nao dominante, sendo, atividades de vida diária (76%) e trabalho (59%) os mais afetados. Embora apenas 9% das pessoas com lesoes que envolvem o mecanismo extensor, cápsula articular ou osso, tivesse resultados funcionais normais, 90% foram capazes de realizar atividades da vida diária de forma independente. Nesta casuística, o planejamento cirúrgico e o preparo pré-operatório foram baseados na avaliaçao e classificaçao clínica Mc Cauley
1 e Graham
2, e complementado pelo exame radiológico. Foi possível observar uma variedade de aplicaçao de procedimentos cirúrgicos no arsenal dos retalhos geométricos com as técnicas de transposiçao (zetaplastias), avançamento (VY, VM), combinados, com pedículos subcutâneos (romboide), retalhos à distância (inguinal) e procedimentos nao cirúrgicos, como descrito por outros autores
6,7,14.
A complexidade das lesoes (grau III e IV) e o tempo entre a queimadura e o atendimento para reabilitaçao, em média de 10 anos, foram fatores que influenciaram no número de procedimentos realizados. Para esses casos, foram necessários até três procedimentos cirúrgicos e de maior complexidade.
Em dois casos com evoluçao de mais de 15 anos, identificou-se carcinoma espinocelular, úlcera de Marjolin, no cotovelo em homem, e no punho em mulher, sendo realizada a excisao completa e reconstruçao com enxertia de pele total do abdome inferior. O estudo histopatológico transoperatório evidenciou margens cirúrgicas livres de tumor, sem adenomegalias associadas e/ou presença de metástases no momento da cirurgia. Estes pacientes tiveram seguimento de cinco anos sem o surgimento de metástases. O sítio mais comum de úlcera de Marjolin, conforme descrito por Das
15, é no membro inferior. Nos casos de queimaduras elétricas, 80% atingiu os MMSS, principalmente em homens e relacionadas ao trabalho. As queimaduras que atingem as maos provocam dificuldade motora e restriçoes para o desempenho de atividades de vida diária e de trabalho, comprometendo a qualidade de vida e autoestima destes indivíduos.
A avaliaçao da recuperaçao funcional da mao por meio de escalas preconizadas na literatura, aferida após o programa de reabilitaçao, foi prejudicada devido à variabilidade dos casos atendidos com a presença de diversos fatores influenciando, entre eles o grau de deformidade, o tempo entre a queimadura e admissao no programa de reabilitaçao. Os autores se limitaram a descrever os resultados funcionais na recuperaçao para atividades de vida diária (AVD) e os graus de recuperaçao da mobilidade articular e da força de preensao aferida com dinamômetro. Segundo Kowalsque
16, o resultado a longo prazo após a queimadura de mao é influenciado por diversos fatores, incluindo a profundidade da queimadura, o edema durante a fase aguda, a formaçao de cicatriz hipertrófica, as contraturas articulares, falta de adesao e seguimento da fisioterapia, dor e neuropatia. Há poucos estudos que fornecem os resultados da avaliaçao longitudinal da funçao da mao após lesao por queimadura, e a maior parte da literatura, quando descreve os resultados em longo prazo, está focada nas técnicas de correçao de contraturas cicatriciais. Além disso, alguns estudos examinam os melhores métodos para avaliar a funçao da mao, e, em geral, qualificam os resultados em severo prejuízo, moderado ou pequeno
16.
A utilizaçao da classificaçao de Graham
1 e os achados do exame físico poderao auxiliar na avaliaçao pré-operatória se somente os procedimentos para o revestimento cutâneo forem suficientes ou se forem necessários procedimentos para liberaçao capsular e articular. As queimaduras mais graves do dorso da mao resultam em deformidade em garra com as AMF em extensao rígida e a articulaçao interfalangeana proximal (AIP) com contratura em flexao articular (Figura 1). Os procedimentos cirúrgicos foram indicados quando a fisioterapia e as órteses nao foram suficientes para recuperar a funçao dos membros superiores ou quando havia disfunçao funcional secundária a contratura cutânea, pobre excursao tendínea e subluxaçao articular. A avaliaçao pré-operatória foi necessária para indicaçao dos procedimentos, com a orientaçao dos passos cirúrgicos e a compreensao do paciente e familiares para acompanhar o tratamento reabilitador.
Os objetivos da reconstruçao foram preservar, restaurar, manter a funçao e a aparência para que o paciente retornasse as suas atividades de vida diária e de trabalho. Moore et al.
6 descreveram abordagem técnica de retalhos e enxertos para contraturas mais graves e zetaplastias para os casos mais simples, mesma prática que tem sido adotada em nossa instituiçao.
Wainwright
3 propôs os princípios gerais a serem aplicados nos procedimentos em sequelas de queimaduras, entre eles o manuseio delicado da pele queimada, a proteçao e preservaçao dos pedículos vasculares, a mobilizaçao do retalho limitada ao que for realmente necessário. Ademais, a liberaçao deve começar da porçao proximal do membro superior para distal. Deve-se liberar cada articulaçao completamente, considerar em primeiro lugar a funcionalidade do membro e nao a estética, preferir retalhos locais e enxertos de pele total.
No programa fisioterápico foram importantes as massagens cicatriciais, movimentaçao na água, com hidroginástica, exercícios ativos e passivos orientados para manutençao da força muscular, prevençao de aderências e retraçoes, programas de fortalecimento muscular e condicionamento, o uso de malhas compressivas, próteses e adaptadores para atividades de vida diária
6. Ressaltamos a necessidade de atendimento e acompanhamento multidisciplinar do paciente queimado. A reintegraçao social e o retorno ao trabalho sao aspectos importantes na vida dos portadores de sequelas de queimaduras. Vários estudos têm demonstrado os problemas relacionados à dificuldade de reintegraçao familiar, social e na produtividade
17-19.
Embora o efeito da reintegraçao social e de trabalho após queimadura de mao nao tenha sido avaliado neste estudo, sabe-se que o comprometimento das maos e dos membros superiores é fundamental para inserçao profissional. O retorno ao trabalho é importante para pacientes com queimaduras. Um estudo de 316 pacientes relatou um retorno médio de trabalho de dois meses, considerando-se queimaduras agudas, todavia, pacientes com queimadura nos MMSS estao 73% menos propensos a retornar ao trabalho em seis meses
18. Finalmente, ressaltamos a importância da prevençao da queimadura e nos casos em que ocorreu a queimadura, a prevençao das deformidades ou da estruturaçao destas. O conhecimento cada vez melhor de substitutos dérmicos e de cultura epitelial, a aplicaçao das células-tronco, os alotransplantes sao promessas que têm modificado o perfil para a cirurgia reconstrutiva nas queimaduras.
CONCLUSAONo programa de reabilitaçao do Hospital Sarah Brasília predominou o atendimento de paciente portador de sequela de queimadura adulto jovem, com mais de dez anos de queimadura, principalmente provocada por alta tensao e elétricas (42%), apresentando deformidades graves na classificaçao de Graham e McCauley de Grau III, IV e amputaçoes (24%). As limitaçoes físicas causadas pela queimadura ocasionaram reduçao da funçao do membro superior, com sequelas variáveis, e uma variedade de procedimentos cirúrgicos e programa de reabilitaçao multidisciplinar foi necessária.
REFERENCIAS1. Graham TJ, Stern PJ, True MS. Classification and treatment of postburn metacarpophalangeal joint extension contractures in children. J Hand Surg Am. 1990;15(3):450-6.
2. McCauley RL. Correction of cervical burn scar contractures. In: McCauley RL, ed. Functional and aesthetic reconstruction of burned patients. Boca Raton: Taylor & Francis Group; 2005. p.347-57.
3. Wainwright DJ. Burn reconstruction: the problems, the techniques, and the applications. Clin Plast Surg. 2009;36(4):687-700.
4. Sood R, Achauer BM, eds. Achauer and Sood's burn surgery: reconstruction and rehabilitation. Philadelphia: Saunders Elsevier; 2006.
5. Leao CEG, Andrade ES, Fabrini DS, Oliveira RA, Machado GLB, Gontijo LC. Epidemiologia das queimaduras no estado de Minas Gerais. Rev Bras Cir Plást. 2011;26(4):573-7.
6. Moore ML, Dewey WS, Richard RL. Rehabilitation of the burned hand. Hand Clin. 2009;25(4):529-41.
7. Umraw N, Chan Y, Gomez M, Cartotto RC, Fish JS. Effective hand function assessment after burn injuries. J Burn Care Rehabil. 2004;25(1):134-9.
8. Schneider JC, Holavanahalli R, Helm P, O'Neil C, Goldstein R, Kowalske K. Contractures in burn injury part II: investigating joints of the hand. J Burn Care Res. 2008;29(4):606-13.
9. Ulkür E, Uygur F, Karagöz H, Celiköz B. Flap choices to treat complex severe postburn hand contracture. Ann Plast Surg. 2007;58(5):479-83.
10. Ricci FPFM, Gonçalves AC, Zampar AC, Gomes AD, Guirro ECO, Fonseca MCR. Perfil epidemiológico dos pacientes com queimadura em membros superiores atendidos em uma Unidade de Queimados terciária. Rev Bras Queimaduras. 2015;14(1):10-3.
11. Marques MD, Amaral V, Marcadenti A. Perfil epidemiológico dos pacientes grandes queimados admitidos em um hospital de trauma. Rev Bras Queimaduras. 2014;13(4):232-5.
12. Coutinho BBA, Balbuena MB, Anbar RA, Anbar RA, Almeida KG, Almeida PYNG. Perfil epidemiológico de pacientes internados na enfermaria de queimados da Associaçao Beneficente de Campo Grande Santa Casa/MS. Rev Bras Queimaduras. 2010;9(2):50-3.
13. Maslauskas K, Rimdeika R, Saladzinskas Z, Ramanauskas T. The epidemiology and treatment of adult patients with hand burns in Kaunas University of Medicine Hospital in 1985, 1995, 2001 and 2002. Medicina (Kaunas). 2004;40(7):620-6.
14. Ribeiro LMB, Morais VS, Fachinelli FA. Sindactilia pós-queimadura da mao. Rev Bras Cir Plást. 2013;28(1):130-2.
15. Das KK, Chakaraborty A, Rahman A, Khandkar S. Incidences of malignancy in chronic burn scar ulcers: Experience from Bangladesh. Burns. 2015;pii: S0305-4179(15)00046-7.
16. Kowalske K. Outcome assessment after hand burns. Hand Clin. 2009;25(4):557-61.
17. Esselman PC, Ptacek JT, Kowalske K, Cromes GF, deLateur BJ, Engrav LH. Community integration after burn injuries. J Burn Care Rehabil. 2001;22(3):221-7.
18. Brych SB, Engrav LH, Rivara FP, Ptacek JT, Lezotte DC, Esselman PC, et al. Time off work and return to work rates after burns: systematic review of the literature and a large two-center series. J Burn Care Rehabil. 2001;22(6):401-5.
19. Moore ML, Dewey WS, Richard RL. Rehabilitation of the burned hand. Hand Clin. 2009;25(4):529-41.
1. Membro titular da SBCP (Sociedade Brasileira de Cirurgia Plástica), médica cirurgia plástica da Rede Sarah de Hospitais de Reabilitaçao - Brasília, Especialista em Ciências da Reabilitaçao e Bioética, Mestre em Bioética, Doutoranda em Bioética-Universidade de Brasília, Brasília, DF, Brasil
2. Enfermeira da Rede Sarah de Hospitais de Reabilitaçao - Brasília, Mestranda em Bioética-Universidade de Brasília, Brasília, DF, Brasil
3. Enfermeiro da Rede Sarah de Hospitais de Reabilitaçao - Brasília, Especialista em Educaçao e Promoçao da Saúde, Mestre em Ciências da Reabilitaçao, Doutorando em Bioética-Universidade de Brasília, Brasília, DF, Brasil
Correspondência:
Ulises Prieto Y Schwartzman
SMHS QD. 501 Conjunto A
Brasília-DF, Brasil - CEP: 70335-901
E-mail:
ulises@sarah.br Artigo recebido: 6/7/2015
Artigo aceito: 10/9/2015
Trabalho aprovado pelo Comitê de Ética em Pesquisa da Associaçao das Pioneiras Sociais (CEP/APS).
Nao existem conflitos de interesse, patrocínio ou problemas éticos envolvidos nesta pesquisa.
Local de realizaçao do trabalho: Hospital Sarah de Brasília, Distrito Federal, Brasil.