RESUMO
Introduçao: Para o adequado estudo anatomopatológico dos tecidos obtidos dos pacientes é crucial a boa técnica para a melhor evidenciaçao das células pesquisadas. É imprescindível que nao só a técnica ideal de coloraçao/marcaçao seja utilizada, mas também a correta técnica de fixaçao da peça cirúrgica. Em trabalho prévio pesquisando miofibroblastos e contraçao na pele restaurada de áreas doadoras de enxertos de pele de espessura parcial, verificamos baixa densidade de miofibroblastos, ao contrário dos estudos em tecido de granulaçao. Investigando as causas disso, e baseando-se em artigo específico sobre a eficácia da evidenciaçao imuno-histoquímica com diferentes métodos de fixaçao tecidual, comparamos a eficácia dos diferentes fixadores, formol a 10% e álcool a 70% para a evidenciaçao de miofibroblastos em tecido de granulaçao de úlceras crônicas de 21 pacientes. Método: Estudamos 42 amostras por meio de técnica imuno-histoquímica, utilizando-se o anticorpo anti-Smooth Muscle Actin, nas quais contamos os miofibrobastos em 10 campos com aumento de 400 X. Resultados: Demonstraram-se melhores resultados qualitativo e quantitativo no material fixado em álcool, quando comparado ao fixado em formol, com densidades médias de miofibroblastos de 86,5 e 48 células/mm2, respectivamente, o que nos leva a recomendar o álcool como fixador de tecidos para estas análises imuno-histoquímicas.
Palavras-chave:
Imunoistoquímica. Fibroblastos. Actinas. Fixação de tecidos. Etanol. Formaldeído.
ABSTRACT
Background: The use of a good visualization technique is crucial for an adequate pathological anatomy study of tissues obtained from patients. Optimal staining and fixation techniques of the surgical piece are essential. In a previous study investigating myofibroblasts and contraction in split skingraft donor sites, a low density of myofibroblasts was observed, as opposed to studies in granulation studies. To investigate the causes for this finding and based on a specific manuscript on the efficacy of immunohistochemical visualization using different tissue fixation methods, we compared the efficacy of fixation in 10% formaldehyde and 70% alcohol for the visualization of myofibroblasts in granulation tissues of chronic ulcers in 21 patients. Method: Forty-two samples were studied by immunohistochemistry, using the anti-Smooth Muscle Actin antibody, and myofibroblasts were counted in 10 fields with a magnification of 400X. Results: Better qualitative and quantitative results were observed in alcohol-fixed materials, when compared to those fixed in formaldehyde, with mean myofibroblasts densities of 86.5 and 48 cells/mm2, respectively, which encourages us to recommend the use of alcohol for tissue fixation in immunohistochemical studies.
Keywords:
Immunohistochemistry. Fibroblasts. Actins. Tissue fixation. Ethanol. Formaldehyde.
A morfologia celular tem grande importância na análise dos tecidos estudados, e para isso concorrem várias técnicas visando à identificaçao e melhor evidenciaçao das estruturas em questao. Assim, pode-se realizar análise óptica por microscopia de luz por meio de técnicas histoquímicas específicas, imunohistoquímica, imunofluorescência e microscopia eletrônica.
Em trabalho prévio, em que se estudou a contraçao e a densidade de miofibroblastos na pele restaurada de áreas doadoras de enxertos de espessura parcial1, foram observados poucos miofibroblastos marcados por anti-actina-α com técnica imuno-histoquímica e fixaçao por formol. Relatos da literatura que pesquisaram miofibroblastos em tecidos de granulaçao de feridas cutâneas mostram, em geral, grandes quantidades dessas células, evidenciadas à microscopia de luz. Pesquisando-se o motivo dessa menor visualizaçao dos miofibroblastos, deparamo-nos com o relato de Alves et al.2, versando sobre o método usado na fixaçao dos tecidos, demonstrando que a fixaçao por álcool era melhor do que a por formol quando se utilizava técnica imuno-histoquímica.
Baseando-se nesse artigo, procuramos por fatores que ajudassem a esclarecer a baixa densidade de miofibroblastos na pele restaurada - se devida à pele humana sem ferida, ao contrário do tecido de granulaçao, ou se por influência de algum outro fator envolvido. Resolvemos entao pesquisar, por meio de método imunohistoquímico pela marcaçao celular com anticorpos anti-actina, a diferença na evidenciaçao qualitativa e, principalmente, quantitativa dos miofibroblastos em amostras de tecidos de granulaçao fixados comparativamente por formol ou por álcool.
MÉTODO Foram solicitadas autorizaçoes, segundo o Comitê de Ética em Pesquisas, a todos os pacientes possíveis candidatos à participaçao no estudo. Tal casuística foi composta por portadores de úlceras cutâneas crônicas necessitando de ressecçao do tecido de granulaçao para enxertia de pele em acompanhamento no ambulatório de Cirurgia Plástica do Hospital-Escola Wladimir Arruda da Faculdade de Medicina da Universidade de Santo-Amaro (UNISA), Sao Paulo, Brasil (Tabela 1). No ato cirúrgico foram retiradas para estudo amostras do tecido de granulaçao dos primeiros 21 pacientes, independentemente da localizaçao topográfica ou da idade da úlcera. De cada paciente, duas amostras do material retirado de cada paciente foram enviadas ao laboratório de anatomia patológica com as diferentes técnicas de fixaçao descritas a seguir.
Fixaçao e processamento do material Um dos fragmentos foi fixado em formol tamponado a 10%, e o outro, em álcool a 70%. Depois de 48 horas de fixaçao, os espécimes foram embebidos em parafina empregando-se a técnica de rotina e foram confeccionadas lâminas com coloraçao histoquímica de hematoxilina-eosina (HE).
Técnica imuno-histoquímica Cortes histológicos foram obtidos e fixados em lâminas com silano (Sigma Chemical Co., St Louis, MO, USA). Após desparafinizaçao, foi realizado bloqueio da peroxidase endógena do material dos cortes e bloqueio da peroxidase endógena tecidual. Em seguida, os cortes foram submetidos à reaçao imuno-histoquímica com o anticorpo anti-Smooth Muscle Actin, Actine des muscles lises, Clone 1 A4. Code nº M0851, Dako A/S., Denmarck, na diluiçao de 1:100 e com utilizaçao de panela de pressao.
Análise quantitativa das células imunomarcadas para actina Os patologistas que examinaram as lâminas desconheciam o método de fixaçao do material. A contagem das células foi feita nas lâminas - com gratículo de 1cm
2 - em 10 campos com aumento de 400X (ocular de 10X e objetiva de 40X). Foram escolhidas para contagem as células imunomarcadas e com morfologia de miofibroblastos, excluindo-se as correspondentes às células endoteliais dos vasos neoformados.
Análise estatística Os resultados quantitativos foram submetidos à análise por meio da comparaçao do número de células positivas em cada grupo usando-se o
software Graph Pad Prism version 4.0 for Windows (Graph Pad Software, San Diego, CA), através do teste nao paramétrico de Mann Whitney.
RESULTADOS A identificaçao dos miofibroblastos foi feita verificando-se as células fusiformes com morfologia de fibroblastos, mas que reagiram com o anticorpo anti-actina de músculo liso.
A análise histológica dos pacientes demonstrou tecido de granulaçao em diferentes fases, às vezes, com predomínio de infiltrado inflamatório e tecido vascular com escassas áreas de tecido conjuntivo cicatricial. Na maioria dos casos, o aspecto histológico se caracterizou por extensas áreas de tecido conjuntivo fibroso rico em células fusiformes imunomarcadas para actina com pouco infiltrado linfocitário e neovascularizaçao.
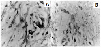
Qualitativamente, a reaçao imuno-histoquímica revelou importante diferença na sensibilidade da reaçao ao compararmos os dois métodos de fixaçao. Assim, observou-se que os cortes fixados em álcool apresentaram maior intensidade da expressao citoplasmática das células imunomarcadas, maior definiçao dos contornos vasculares e menor formaçao de
background quando comparados aos cortes do mesmo tecido fixado em formol.
Na análise quantitativa, observou-se maior positividade de miofibroblastos no tecido fixado em álcool do que no fixado em formol. A Tabela 1 nos mostra a distribuiçao dos miofibroblastos em cada uma das duas amostras dos 21 pacientes, colocando-se ao final das colunas as médias obtidas, de 86,5 e 48,0 células/mm
2 respectivamente, ou seja, com média de positividade 80% maior no mesmo material quando fixado em álcool a 70%, com significância estatística (p< 0,01). Obteve-se, assim, significativa melhora na visualizaçao das células pesquisadas, tanto do ponto de vista qualitativo como quantitativo, como demonstram a Tabela 1 e as Figuras 1 e 2.

Figura 1 - Visualizaçao dos miofibroblastos em cortes histológicos do mesmo tecido de granulaçao, submetidos à fixaçao em álcool (A), e em formol (B) - aumento de 400X.

Figura 2 - Densidade dos miofibroblastos (quantificaçao da expressao da actina) nos tecidos submetidos a diferentes processos de fixaçao (pontos escuros - fixados em formol; pontos claros - fixados em álcool) (p<0,01).
DISCUSSAO O tecido de granulaçao apresenta variadas fases de evoluçao e é constituído por tecido conjuntivo fibroso rico em fibroblastos que, passando por algumas fases, segundo a maioria dos autores, termina diferenciando-se em miofibroblastos3. Essas células especiais, com características morfológicas e funcionais comuns aos fibroblastos e às células musculares lisas, foram pela primeira vez identificada à microscopia de luz em 19714. Em artigo descrevendo diferentes métodos de imunomarcaçao celular, foi demonstrado que o processo de fixaçao de tecidos de biópsias é fator determinante da intensidade e da positividade da reaçao imuno-histoquímica2. Nosso trabalho, estudando tecidos de granulaçao em diferentes fases da cicatrizaçao - e com diferentes métodos de fixaçao - corrobora os achados prévios de que, por análise quantitativa, os fragmentos histológicos fixados em álcool apresentam maior positividade de células imunomarcadas para actina que os fixados em formol, dado encontrado em todos os casos. Importante ressaltar ainda que, nos casos em que há pequeno número de células marcadas, tal achado poderia talvez ser explicado pelo fato de o material corresponder a tecido de granulaçao jovem, onde ainda há pequeno número de células com fenótipo de miofibroblastos proliferados.
Tradicionalmente aprendemos a usar na fixaçao de nossas peças cirúrgicas - e que levou à extensao do uso também em nossas pesquisas - o formol líquido. Com isso, muitas vezes por desconhecermos alternativas melhores - principalmente em pesquisas, quando objetivamos demonstrar alguma hipótese proposta -, os resultados aparentemente podem mostrar-se fragilizados. Ao invés de questionarmos a validade da proposiçao inicial do estudo, se soubermos que um mero detalhe técnico - que, aliás, por vezes nem é de nossa prática diária, como a análise anatomopatológica - pode efetivamente interferir na qualidade desses resultados, devemos estar atentos para nao comprometer a qualidade de nossos estudos. Como exemplo concreto dessa experiência, a expressiva melhora - tanto qualitativa como quantitativa - na evidenciaçao imuno-histoquímica dos miofibroblastos marcados com o anticorpo anti-actina, quando observada no material fixado em álcool, nos leva a recomendá-lo quando se forem pesquisar essas células, em substituiçao ao tradicional formol.
REFERENCIAS 1. Gomez DS, Mariani U, Pinto WS, Gemperli R, Ferreira MC. Contraction and myofibroblasts in restored skin. Scand J Plast Reconstr Surg Hand Surg. 1998;32(2):147-55.
2. Alves VAF, Wakamatsu A, Kanamura CT, Magalhaes ES, Siqueira SAC. A importância da fixaçao em imuno-histoquímica: a distribuiçao de vimentina e citoqueratinas em amostras fixadas em álcool e formol. Rev Hosp Clin Fac Med S Paulo. 1992;47(1):19-24.
3. Au K, Ehrlich HP. Does rat granulation tissue maturation involve gap junction communications? Plast Reconstr Surg. 2007;120(1):91-9.
4. Hirschel BJ, Gabbiani G, Ryan GB, Majno G. Fibroblasts of granulation tissue: immunofluorescent staining with antismooth muscle serum. Proc Soc Exp Biol Med. 1971;138(2):466-9.
1. Professor Titular de Cirurgia Plástica da Faculdade de Medicina da Universidade de Santo Amaro (Unisa).
2. Médica Residente de Cirurgia Plástica do Hospital Escola Wladimir Arruda - Unisa.
3. Médica Patologista da Faculdade de Medicina da Universidade de Sao Paulo (FMUSP).
4. Estaticista da Unisa.
5. Professor Associado da FMUSP.
6. Professor Titular e Chefe do Serviço de Cirurgia Plástica da Unisa.
Correspondência:
David Souza Gomez
Hospital das Clínicas da Faculdade de Medicina da Universidade de Sao Paulo, Departamento de Cirurgia, Divisao de Cirurgia Plástica e Queimaduras
Av. Dr. Enéas de Carvalho Aguiar, 255 - Cerqueira César
Sao Paulo, SP - CEP 05403-900
Recebido em: 5/1/2010
Aceito em: 8/3/2010
Trabalho realizado no Hospital-Escola Wladimir Arruda da Faculdade de Medicina da Universidade de Santo-Amaro (UNISA), Sao Paulo, SP.